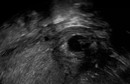
Αn interstitial pregnancy occurs when the ectopic pregnancy implants in the interstitial part of the fallopian tube. The reported incidence varies between 1.0% and 6.3% of ectopic pregnancies. The interstitial part of the fallopian tube is about 1–2 cm in length and traverses the muscular myometrium of the uterine wall, opening via the tubal ostium into the uterine cavity (Elson CJ et al., 2016).
The following ultrasound criteria may be used for the diagnosis of interstitial pregnancy: empty uterine cavity, products of conception/gestational sac located laterally in the interstitial (intramural) part of the tube and surrounded by less than 5 mm of myometrium in all imaging planes, and presence of the ‘interstitial line sign’ (Elson CJ et al., 2016).


Systemic methotrexate may be the primary treatment option in non-complicated cases of interstitial ectopic pregnancy. Nevertheless, a cornual wedge resection seems to be the safest approach in recurrent cases, in the presence of anatomical risc factors or in ruptured cases when the patient is haemodynamically unstable (Egger E, 2017). Instead of a cornual wedge resection a cornuotomy could be performed yielding similar results (Lee MH et al., 2017). Laparoscopic guided transcervical evacuation and hysteroscopic approach for the precise visualization of the site of an ectopic gestational sac can also be applied in selected cases (Kahramanoglu I et al., 2017).
Bibliography
Egger E. Recurrent Interstitial Pregnancy: a Review of the Literature. Geburtshilfe und Frauenheilkunde. 2017;77(4):335-339. doi:10.1055/s-0043-100107.
Elson CJ, Salim R, Potdar N, Chetty M, Ross JA, Kirk EJ on behalf of the Royal College of Obstetricians and Gynaecologists. Diagnosis and management of ectopic pregnancy. BJOG 2016; 123:e15-e55.
- Kahramanoglu I, Mammadov Z, Turan H, Urer A, Tuten A. Management options for interstitial ectopic pregnancies: A case series. Pak J Med Sci. 2017;33(2):476-482. doi: https://doi.org/10.12669/pjms.332.12093.
- Lee MH, Im SY, Kim MK, Shin SY, Park WI. Comparison of Laparoscopic Cornual Resection and Cornuotomy for Interstitial Pregnancy. J Minim Invasiv Gynecol. 2017 Mar – Apr;24(3):397-401. doi: 10.1016/j.mig.2016.11.016. Epub 2016 Dec 9.
