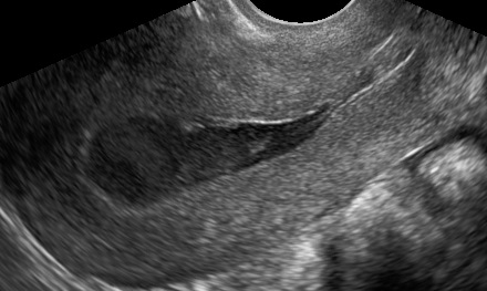
Complete cervical stenosis can be congenital or acquired, e.g. following conization. The condition is associated with amenorrhea, cyclical lower abdominal pain, and hematometra.
The risk of developing a complete cervical stenosis after conization is very low (< 1%) and is believed to be associated with estrogen-deficiency, since it is more often in postmenopausal and breast-feeding women (Koyama et al, 2014).
Treatment options depend on the patient’s age and desire for future fertility and may include recanalization and dilatation of the cervical canal with temporary urinary catheter stent placement or hysterectomy (Yasmin, 2007).

Bibliography
- Koyama, S., Kobayashi, M., Tanaka, Y., Kubota, S., Nakamura, R., Isobe, M., & Shiki, Y. (2014). Complete cervical stenosis after conization: Timing for the minimally invasive reconstructive surgery. Gynecology and Minimally Invasive Therapy, 3(2), 57–60. https://doi.org/https://doi.org/10.1016/j.gmit.2014.05.001
- Yasmin, T. A. N., & J., B. M. (2007). Urinary catheter stent placement for treatment of cervical stenosis. Australian and New Zealand Journal of Obstetrics and Gynaecology, 47(5), 406–409. https://doi.org/10.1111/j.1479-828X.2007.00766.x
