Definition
Total or partial twist of the adnexa around its vascular axis resulting in vascular compression.
Epidemiology
Adnexal torsion seems to account for about 3% of gynecologic emergencies.
Aetiopathogenesis
Risk factors include:
- History of adnexal torsion.
- Assisted reproduction and ovarian hyperstimulation syndrome.
- Pregnancy.
- Benign adnexal mass.
On the contrary, endometriosis, pelvic adhesions, pelvic inflammatory disease and malignancy seem to have a “protective effect” against the presence of adnexal torsion.
Clinical Image
The suspicion for adnexal torsion is a clinical one. Clinical signs include acute lower abdominal pain with nausea and vomiting, while fever may also be present if necrosis has begun.
Diagnostics
Sonography should help confirm the suspicion and lead to prompt surgical treatment.
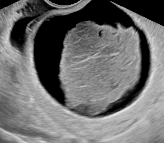
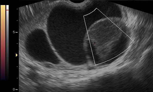
Ultrasound characteristics of adnexal torsion include:
- Presence of ovarian cyst/tumor, or parovarian cyst or hydrosalpinx (usually as a prerequisite).
- Edematous ovary and/or tube with increased intrafollicular distance and/or follicular halos.
- Abnormal or absent doppler flow inside the ovary.
- The whirlpool sign.



Don’t forget:
An adnexal torsion may considerably change its original anatomic position


Management
Emergency laparoscopy.
Prognosis
To preserve the ovary, surgical management should not be delayed (onset of symptoms – surgery < 24 hours, ideally < 6 hours).
It is of major importance that visual assessment of ovarian necrosis during surgery does not seem to be a good predictor of actual necrosis in histopathology.
Bibliography
- Auslender, R., Shen, O., Kaufman, Y., Goldberg, Y., Bardicef, M., Lissak, A. and Lavie, O. (2009), Doppler and gray-scale sonographic classification of adnexal torsion. Ultrasound Obstet Gynecol, 34: 208–211. doi:10.1002/uog.6369
- Bardin R, Perl N, Mashiach R et al. Prediction of Adnexal Torsion by Ultrasound in Women with Acute Abdominal Pain. Ultraschall in der Medizin – European Journal of Ultrasound 2019 (efirst). doi:10.1055/a-1014-2593
- Novoa, M., Friedman, J., & Mayrink, M. (2021). Ovarian torsion: can we save the ovary?. Archives of gynecology and obstetrics, 304(1), 191–195. https://doi.org/10.1007/s00404-021-06008-8
- Ssi-Yan-Kai, G., Rivain, A. L., Trichot, C., Morcelet, M. C., Prevot, S., Deffieux, X., & De Laveaucoupet, J. (2018). What every radiologist should know about adnexal torsion. Emergency radiology, 25(1), 51–59. https://doi.org/10.1007/s10140-017-1549-8
You may also find the following articles interesting:

1 Comment