Indication
Fibroids of FIGO Type 0, 1 and 2 and:
- Bleeding disorders or
- Patient desires pregnancy

Preoperative Evaluation
Careful ultrasound evaluation using the STEPW classification system ideally combined with diagnostic (office) hysteroscopy or alternatively use of saline infusion sonohysterography.


Technique

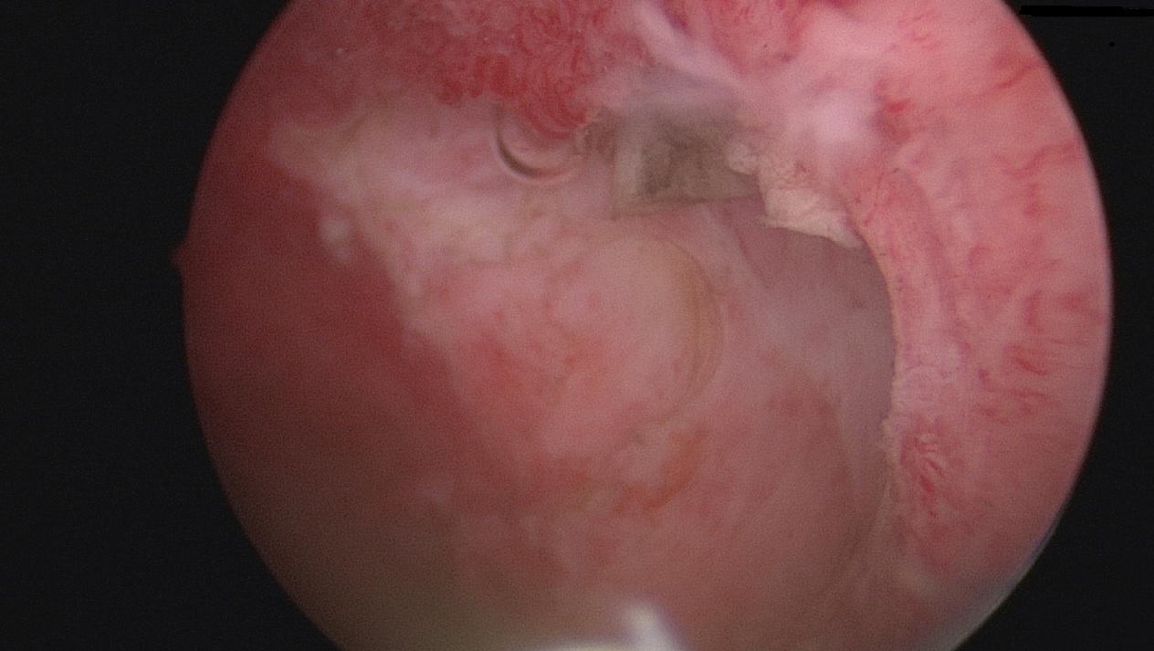
Identify the myoma and the whole of the cavity, including the tubal ostia. 
Use the resectoscope to remove the myoma (so-called “slicing”). There are also alternatives, like cold scissors or shavers – best used for FIGO type 0 myomas. 
Reduce the intrauterine pressure to perform coagulation. Νotice that now a small residual part of the myoma protrudes inside the cavity. 
Remove all myoma tissue and perform thorough coagulation. If even after reducing of the pressure there is no bleeding and no residual myoma tissue, then the surgery is complete.
Use bipolar energy and saline solution and keep track of the fluid deficit. If you exceed 1000ml it would be best to not perform the surgery in one step. In older, frail patients, this limit should be lowered to about 750ml. Inform your patient preoperatively about the possibility of a two- or even three-step procedure in case the STEPW score is high.
Contraindications
- STEPW Score > 6 (group III).
- Non-submucous myomas.
Complications
Uterine perforation, bleeding.
Postoperative Management
The patient can go home on the same day.
Bibliography
- Loddo, A., Djokovic, D., Drizi, A., De Vree, B. P., Sedrati, A., & van Herendael, B. J. (2022). Hysteroscopic myomectomy: The guidelines of the International Society for Gynecologic Endoscopy (ISGE). European journal of obstetrics, gynecology, and reproductive biology, 268, 121–128. https://doi.org/10.1016/j.ejogrb.2021.11.434
- Piecak, K., & Milart, P. (2017). Hysteroscopic myomectomy. Przeglad menopauzalny = Menopause review, 16(4), 126–128. https://doi.org/10.5114/pm.2017.72757
- Lasmar, R. B., Xinmei, Z., Indman, P. D., Celeste, R. K., & Di Spiezio Sardo, A. (2011). Feasibility of a new system of classification of submucous myomas: a multicenter study. Fertility and sterility, 95(6), 2073–2077. https://doi.org/10.1016/j.fertnstert.2011.01.147
