Εndometriosis presents in three different entities, which can be found together:
- peritoneal lesions,
- deep endometriosis and
- ovarian endometriomas.
The prevalence of endometriomas is estimated at about 17–44% of women with endometriosis. They may be associated with infertility, dysmenorrhea and chronic pelvic pain. If they are symptomatic, or if they are large (> 3 cm) evidence-based guidelines suggest their surgical excision (laparoscopic entry, stripping technique). Note that care has to be taken because surgery for the endometrioma has been associated with impaired ovarian reserve.
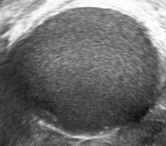
The typical ultrasound features of an endometrioma are:
- ground glass echogenicity (homogeneous low-level echogenicity)
- one to four locules and
- no papillations with detectable blood flow

Bibliography
- Ludovico Muzii, Chiara Di Tucci, Mara Di Feliciantonio, Claudia Marchetti, Giorgia Perniola, Pierluigi Benedetti Panici; The effect of surgery for endometrioma on ovarian reserve evaluated by antral follicle count: a systematic review and meta-analysis, Human Reproduction, Volume 29, Issue 10, 10 October 2014, Pages 2190–2198, https://doi.org/10.1093/humrep/deu199
- Working group of ESGE, ESHRE, and WES, Saridogan E, Becker CM, et al. Recommendations for the surgical treatment of endometriosis—part 1: ovarian endometrioma. Gynecological Surgery. 2017;14(1):27. doi:10.1186/s10397-017-1029-x.
- Van Holsbeke, C., Van Calster, B., Guerriero, S., Savelli, L., Paladini, D., Lissoni, A. A., Czekierdowski, A., Fischerova, D., Zhang, J., Mestdagh, G., Testa, A. C., Bourne, T., Valentin, L. and Timmerman, D. (2010), Endometriomas: their ultrasound characteristics. Ultrasound Obstet Gynecol, 35: 730–740. doi:10.1002/uog.7668
