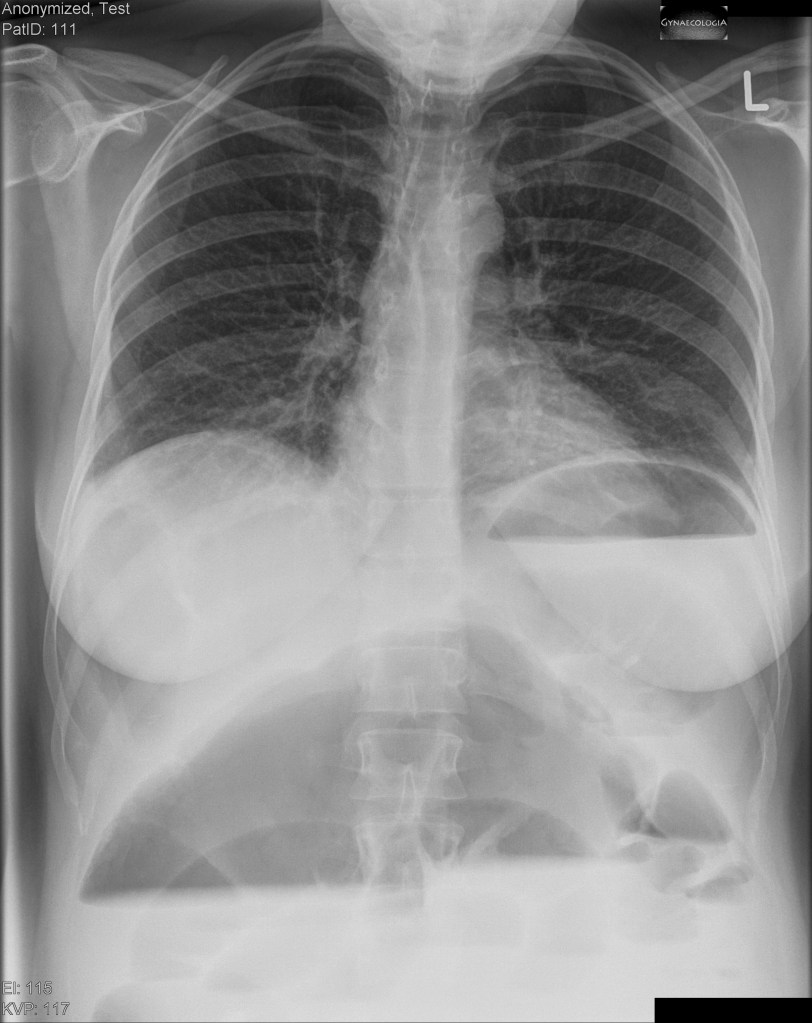
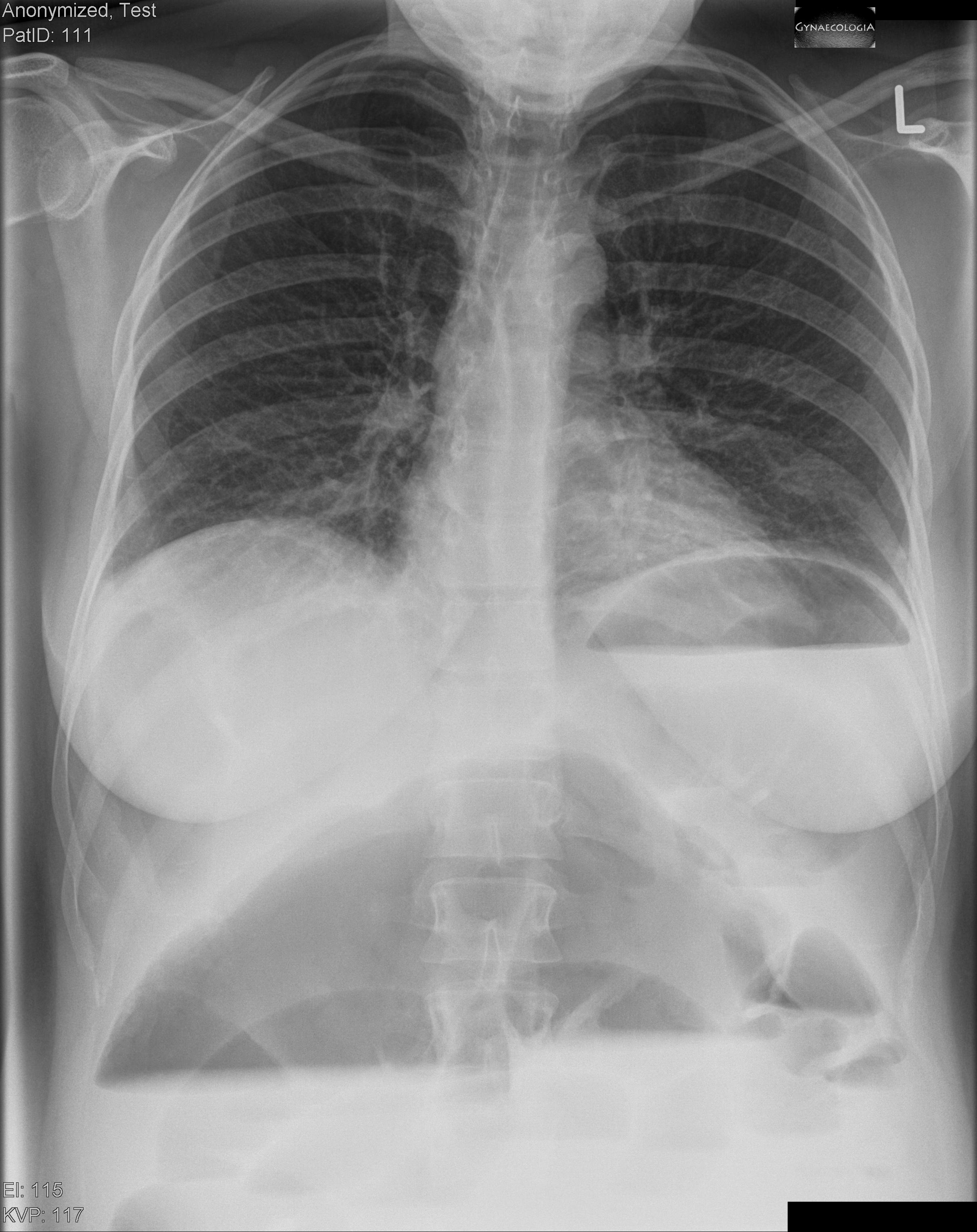
A 36-year-old 2 gravida 1 para in the 36th week of pregnancy presented with abdominal distension, acute epigastric pain, vomiting and constipation. A significant leucocytosis was noted. The patient had a previous cesarean section as well as previous bowel surgery. The fetus showed no abnormality and was age-appropriate. Premature uterine contractions were excluded. After consulting with the general surgeons and ragiologists a thorax x-ray was performed.

The diagnosis of volvulus was made. The treatment consisted of a laparotomy via a midline vertical incision, cesarean section followed by right hemicolectomy. The patient recovered quickly and the preterm neonate was discharched just a few days later.
Volvulus in pregnancy is a rare but serious complication associated with significant maternal and fetal morbidity and even mortality. Diagnosis is usually delayed and complications include perforation, peritonitis, sepsis, preterm delivery and intrauterine fetal demise. Volvulus is reported to be responsible for as high as 25% of cases of acute intestinal obstruction during pregnancy and puerperium. The classic clinical triad involves abdominal pain, distention and constipation. Diagnosis can be established mainly due to clinical suspicion, in difficult cases even with an x-ray or, preferably, with sonography (whirlpool sign).
Bibliography
- Narjis Y, Rabbani K, Largab S, Soumani A, Finech B, El Idrissi Dafali A. Coecal voNarjis, Y., Rabbani, K., Largab, S., Soumani, A., Finech, B., & El Idrissi Dafali, A. (2010). Coecal volvulus: An acute complication of pregnancy. Journal of emergencies, trauma, and shock, 3(4), 426–427. https://doi.org/10.4103/0974-2700.70771
- Khan MR, Ur Rehman S. Sigmoid volvulus in pregnancy and puerperium: a surgical Khan, M. R., & Ur Rehman, S. (2012). Sigmoid volvulus in pregnancy and puerperium: a surgical and obstetric catastrophe. Report of a case and review of the world literature. World journal of emergency surgery : WJES, 7(1), 10. https://doi.org/10.1186/1749-7922-7-10
- Abdullah Agha M. M. (2012). Postvaginal delivery caecal volvulus and perforation. Case reports in obstetrics and gynecology, 2012, 971213. https://doi.org/10.1155/2012/971213
