Indication
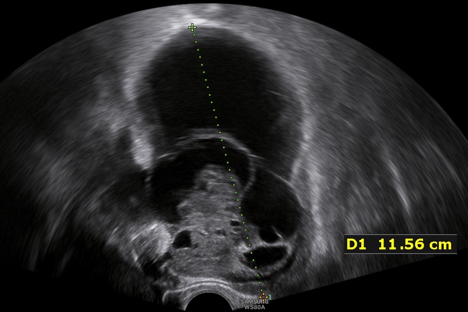
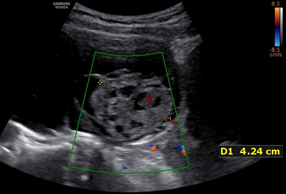
- 31-year old P1 with unilateral, 11.5cm large, multilocular, cystic ovarian tumor with solid components up to 4.2cm cointaining feeding vessels in doppler-sonography. CA-125 was negative. The patient desired further future pregnancies.
- The patient consented to a laparoscopic adnexectomy.
Technique

Laparoscopic view of the giant ovarian tumor. 
Bipolar coagulation of the left ligamentum infundibulopelvicum. 
Situs after removal of the left adnexa. 
The unraptured immature teratoma after removal.
Histology
- The speciment was thouroughly examined and diagnosed as an immature teratoma inside the capsule of the ovary FIGO IA, G1.
- Second-look laparoscopy was offered to the patient. Peritoneal biopsies, contralateral ovarian biopsy, infragastric omental removal were discussed.

Peritoneal biopsy (one of many). 
Contralateral ovarian biopsy. 
Laparoscopic infragastric omentectomy (1/4). 
Laparoscopic infragastric omentectomy (2/4). 
Laparoscopic infragastric omentectomy (3/4). 
Laparoscopic infragastric omentectomy (4/4).
Complications
- There were no complications.
Postoperative Management
- Uneventful. The patient met with an oncologist and no chemotherapy was needed. Regular control examinations were initiated.
Bibliography
- Leitlinienprogramm Onkologie (Deutsche Krebsgesellschaft, Deutsche Krebshilfe, AWMF): S3-Leitlinie Maligne Ovarialtumoren, Langversion 4.0, 2020, AWMF Registernummer: 032/035OL, https://www.leitlinienprogramm-onkologie.de



