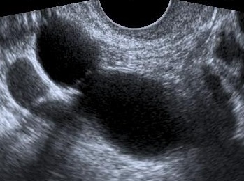
The presence of an incomplete septum in an anechoic mass with smooth tubular shape and poor vascularization facilitates discrimination between hydrosalpinx and other adnexal masses. Additionally, a history of previous abdominal operations or infections further supports the diagnosis of hydrosalpinx (Domali E. et al, 2007).

Bibliography
- Domali, E., Van Holsbeke, C., Van Den Bosch, T., Jurkovic, D., Testa, A., Valentin, L. and Timmerman, D. (2007), P43.11: Ultrasound characteristics of hydrosalpinx. Ultrasound Obstet Gynecol, 30: 617. doi:10.1002/uog.4948
