Types of cystocele:
- Medial
- Lateral
- Combined mediolateral
- Apical
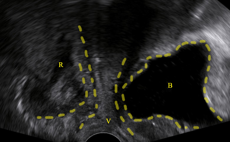
Symptoms of anterior vaginal wall prolapse like incomplete bladder emptying or feeling of vaginal bulge are frequent when:
- The coordinate “Ba” on POPQ descends at least as low as 0.5cm cranially of the hymenal ring (speculum-exam).
- The bladder descends at least 10mm below the symphysis pubis (pelvic floor sonography).
Differential diagnosis:
- Vaginal inclusion cysts
- Gartner-Duct cyst
- Urethral diverticulum
- Urethrocele
- Anterior enterocele


Bibliography
- Dietz HP. Ultrasound in the assessment of pelvic organ prolapse. Best Pract Res Clin Obstet Gynaecol. 2019;54:12-30. doi:10.1016/j.bpobgyn.2018.06.006
- Lamblin, G., Delorme, E., Cosson, M., & Rubod, C. (2016). Cystocele and functional anatomy of the pelvic floor: review and update of the various theories. International urogynecology journal, 27(9), 1297–1305. https://doi.org/10.1007/s00192-015-2832-4
