Skip to content
Gynaecologia

Gynaecologia

Your modern Guide to Gynecology & Obstetrics

Search
  • Obstetrics
    • Congenital Anomalies
      • Absent nasal bone
      • Choroid plexus cyst
      • Congenital toxoplasmosis
      • Complete transposition of the great arteries (d-TGA)
      • Double outlet right ventricle
      • Gastroschisis
      • Fetal Hydronephrosis
      • Fetal hyperthyroidism
      • Fetal hypertrophic cardiomyopathy in maternal diabetes mellitus
      • Fetal premature atrial contractions
      • Interrupted inferior vena cava
      • Persistent Right Umbilical Vein
      • Polyhydramnios
    • Fetal Biometry
      • How to measure the abdominal circumference
      • How to measure the amniotic fluid
      • How to measure the femur length
      • How to measure the BPD
    • First-trimester
      • Absent nasal bone
      • Nuchal translucency
      • The lambda sign
    • Maternal Disease in Pregnancy
      • Hourglass membranes (prolapsed membranes)
      • Ureterolithiasis in Pregnancy
      • Uterine myomas and pregnancy
      • Volvulus in Pregnancy
  • Gynecology
    • Benign Adnexal Pathology
      • Adnexal torsion
      • Fallopian Tube Torsion
      • Hemoperitoneum
      • Hydrosalpinx
      • Mucinous Cystadenoma
      • Paraovarian / Paratubal Cyst
      • Struma ovarii
    • Ectopic pregnancy
      • Caesarean scar pregnancy
      • Cervical pregnancy
      • Interstitial pregnancy
      • Laparoscopic Management of Tubal Ectopic Pregnancy #1 Salpingotomy
      • Laparoscopic Management of Tubal Ectopic Pregnancy #2 Salpingectomy
      • Laparoscopic Treatment of A Chronic Ectopic Pregnancy
      • Masterclass – Ultrasound Study of the Tubal Ectopic Pregnancy
    • Endometriosis
      • Adenomyosis
      • Deep infiltrating endometriosis
      • Endometrioma
    • Gynecologic Malignancy
      • Endometrial Cancer
      • Laparotomy for Giant Ovarian Tumor
      • Pelvic Lymphoma
      • Smooth Muscle Tumor of Uncertain Malignant Potential (STUMP)
      • Ultrasound Study of Borderline Ovarian Tumors
      • Ultrasound Study of Cervical Cancer
    • Hysteroscopy
      • Hysteroscopic Myomectomy
      • Transcervical Resection of the Endometrium
    • Laparoscopy
      • Laparoscopic Bilateral Salpingectomy: Tips & Tricks
      • Laparoscopic Excision of a Mesothelial Cyst of the Uterus
      • Laparoscopic Management of an Immature Teratoma
      • Laparoscopic Management of Tubal Ectopic Pregnancy #1 Salpingotomy
      • Laparoscopic Management of Tubal Ectopic Pregnancy #2 Salpingectomy
      • Laparoscopic Myomectomy
      • Laparoscopic Removal of an intraabdominal IUD
      • LAparoscopic Supracervical Hysterectomy (LASH)
      • Laparoscopic Treatment of A Chronic Ectopic Pregnancy
      • Total Laparoscopic Hysterectomy (TLH)
    • Postoperative complications
      • Hematometra after conization
      • Parasitic Myoma
      • Ureterovaginal fistula after hysterectomy
      • Vesicovaginal fistula after hysterectomy
  • Urogynecology
    • Incontinence Surgery
      • Bladder Injection with Botulinum Toxin A
      • Transurethral Injection of Intramural Bulking Agent
    • Pelvic Floor Ultrasound
      • De Novo Stress Urinary Incontinece After Prolapse Surgery
      • How to Measure the Postvoid Residual Bladder Volume
      • How to Measure the Urethral Length
      • How to: Ultrasound in Stress Urinary Incontinence
      • Levator Ani Avulsion
      • Pelvic Floor Ultrasound: The Cystocele
      • Pelvic Floor Ultrasound: The Enterocele
      • Pelvic Floor Ultrasound: The Rectocele
      • Ureterocele
      • Urethral Diverticulum
    • Prolapse Surgery
      • Laparoscopic Lateral Suspension (Dubuisson)
      • Laparoscopic Sacrocervicopexy
      • Laparoscopic Uterosacral Ligament Suspension
      • vNotes Uterosacral Ligament Suspension
  • How To
    • How to measure the abdominal circumference
    • How to measure the amniotic fluid
    • How to measure the BPD
    • How to measure the cervical length
    • How to measure the femur length
    • How to Measure the Postvoid Residual Bladder Volume
    • How to Measure the Urethral Length
    • How to optimize your ultrasound image
    • How to: the four chamber view
    • How to: Ultrasound in Stress Urinary Incontinence
HomeFetal Biometry Series

Fetal Biometry Series

01

Optimize your Ultrasound Image

Nuchal translucency

02

Measure the Fetal Head

fetal head biometry

03

Measure the Fetal Abdomen

fetal abdomen ultrasound correct plane

04

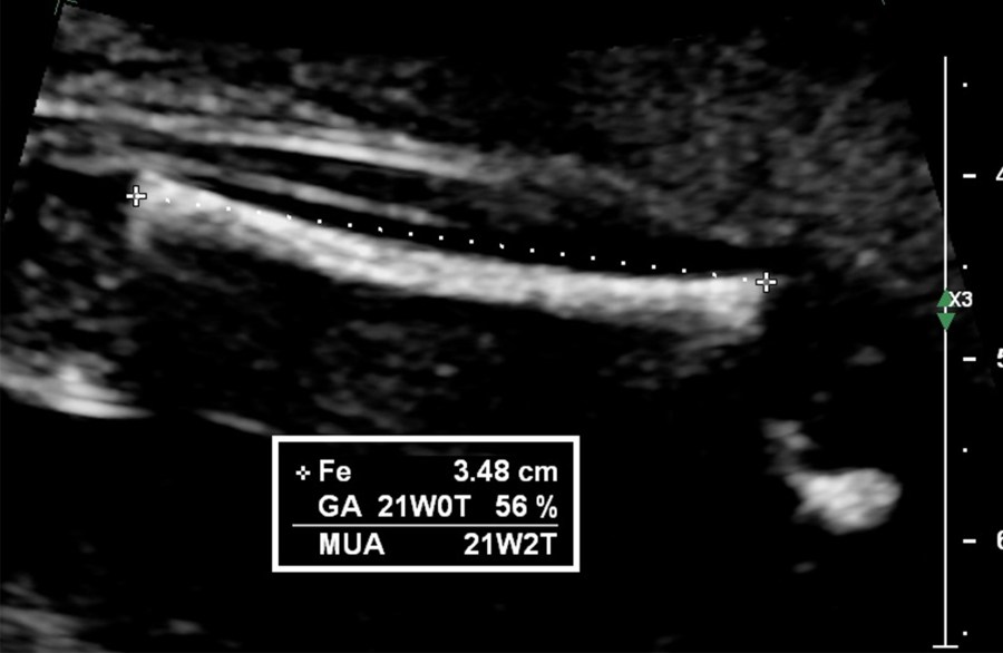
Measure the Fetal Femur

femur length ultrasound

05

Measure the Amniotic Fluid

amniotic fluid ultrasound

Share this:

  • Share on X (Opens in new window) X
  • Share on Facebook (Opens in new window) Facebook
  • Share on LinkedIn (Opens in new window) LinkedIn

Write your e-mail address and get notified once a new article comes out.

Topics

  • Gynecology
  • Obstetrics
  • Urogynecology

The information contained herein is intended for use by health-care professionals and is provided strictly as a supplement to the professional’s own knowledge of best practice guidelines.

Impressum

German Version
Copyright ©2023

Website Powered by WordPress.com.
Privacy & Cookies: This site uses cookies. By continuing to use this website, you agree to their use.
To find out more, including how to control cookies, see here: Cookie Policy
  • Subscribe Subscribed
    • Gynaecologia
    • Join 54 other subscribers
    • Already have a WordPress.com account? Log in now.
    • Gynaecologia
    • Subscribe Subscribed
    • Sign up
    • Log in
    • Copy shortlink
    • Report this content
    • View post in Reader
    • Manage subscriptions
    • Collapse this bar
 

Loading Comments...